Az egynapos sebészeti műtétek díját - az érvényes TAJ kártyával rendelkező betegek számára - a TB fizeti.
Az orrpolip az orr nyálkahártyájának krónikus gyulladás eredményeképpen kialakuló jóindulatú, egyre növekvő duzzanata. Ebben szerepet játszik a levegő fokozott szennyezettsége, az allergiát okozó allergének, az örökletes és helyi faktorok, a tüdőasztma és egyes allergiáért felelős gombafajok. A lakosság mintegy 2%-a szenved ebben a betegségben. A nyálkahártya túlburjánzás beterjed az orrmelléküregekből az orrüregbe, majd folyamatosan növekedve, fokozatosan kitölti azt.
Az orrüregben a levegő áramlásának mechanikus gátoltsága miatt nehezített orrlégzés alakul ki, ennek következtében a szájon át történő légzés kerül előtérbe, ezért az orr nyálkahártya mellett a torok és a garat nyálkahártyája is kiszárad, gyakrabban alakul ki torokgyulladás. A tünetek: teltségérzés az orrban, orrfolyás, orrgarati váladékcsurgás, szájszárazság, fülpanaszok, szaglászavar, horkolás. Ahogyan az orrpolip növekszik, úgy ezek a panaszok is fokozódnak.
|  | 
| Polipok az orrüregben és az orrmelléküregben. | 
A orrpolip lehet egy- vagy kétoldali, kitölthet egy vagy több orrjáratot, az orrbemenetet, és beterjedhet az orrgaratba, a rostasejtekbe és a melléküregekbe is. A polipok elzárják az arcüregek, a homloküreg kivezető nyílásait is a rostasejtekével egyetemben.
|  | 
| Polipok az orrüregben és az orrmelléküregben. | 
Az orrmelléküregekben a nyálkahártya túlburjánzás elzárja a természetes kivezető nyílásokat, emiatt nem tudnak átszellőzni, ezért gyakori a krónikus arcüreggyulladás, szinte folyamatos a színtelen nyákos vagy gennyes orrváladékozás (nátha), a fejfájás, valamint az orrhangú beszéd.
|  | 
| Krónikus arcüreggyulladás. | 
Az alábbi animációs filmen az arcüregek gyulladásának kialakulását lehet megtekinteni.
Az orrpolipműtéteket minden esetben fül-orr-gégész szakorvosi vizsgálat előzi meg.
|  | 
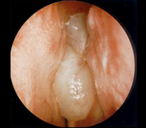
| Orrpolip orrtükri képe. | 
Tipikus az orrtükri kép. Az orrpolipok egyszeresen vagy többszörösen helyezkedik el. Diagnózisát a fül-orr-gégész viszonylag könnyen megállapítja az orrtükri kép alapján.
 
    A képen jól látható az endoszkópos vizsgálat, amelynek során pontos képet kapunk az orrüreg és a melléküregek bemeneti nyílásainak állapotáról.
|  | 
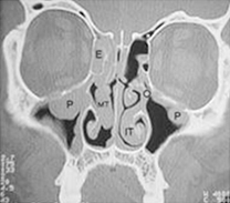
| Orrpolip CT kép. | 
A melléküregek állapotáról CT (Computer Tomográfiás röntgen) felvételek alapján tájékozódunk, ezeken a felvételeken jól látszanak az arcüreget kitöltő polipok.
A pontos diagnózishoz és a pontos műtéti terv felállításához az orrtükri kép, az endoscopos vizsgálat és a CT felvételek is szükségesek.
A vizsgálatok befejezése után az orvos részletes tájékoztatást ad a betegnek állapotáról és annak kezelési lehetőségeiről. Ekkor esik szó a javasolt műtét típusáról, az egynapos sebészetről, mint speciális ellátási formáról, a műtéthez szükséges laboratóriumi, esetleg egyéb kiegészítő vizsgálatokról (pl. allergia teszt), a műtéti érzéstelenítés fajtáiról, a lehetséges szövődményekről, az otthoni ápolási teendőkről, a gyógyulás szakaszairól és a gyógyulás során felmerülő esetleges problémákról. A felvilágosítás során elhangzik minden információ, amely szükséges a beteg számára annak eldöntéséhez, hogy milyen kezelési módot, ill. műtétet válasszon.
A konzultáció során a betegek gyakran felteszik a kérdést az orvosnak: mit tanácsol, a műtétet vagy a konzervatív kezelést? Ilyenkor két dolgot lehet elmondani a betegeknek: Az egyik, hogy mivel anatómiai elváltozásról van szó (nyálkahártya túlburjánzás) a folyamatot nem lehet konzervatív terápiával (pl. gyógyszerek) meggyógyítani, csak az általa okozott panaszokat lehet tünetileg kezelni. A másik, hogy ezeket a panaszokat mindenki másképpen éli meg, ezért kizárólag az egyéni tűrőképesség határozza meg, hogy ki mennyi ideig hajlandó együtt élni ezekkel, ill. mikor határozza el magát a műtétre.
A vizsgálat végén a teljes körű szóbeli felvilágosítás megtörténtét a beteg a tájékoztató jegyzőkönyvének (Vizsgálati lap) aláírásával igazolja.
Kezelésénél elsődleges a kiváltó ok (allergia, gyulladás) kiiktatása. Ha a gyógyszeres kezelés nem hatásos, akkor az orrpolip műtéti eltávolítása javasolt (FESS műtét).
Az orrpolip műtétek célja az orrüreg és az orrjáratok szabaddá tétele, így helyreáll az orrlégzés és az orr melléküregeinek a szellőzése is. Az újabb polipok kialakulásának megelőzése érdekében gyógyszeres kezelés szükséges. A képalkotó eljárások, CT, MR és a műtéti technika fejlődésének következtében és az egyre hatásosabb gyógyszerek megjelenésével ma már ritkábban újulnak ki az orrpolipok. Manapság a legtöbb orr és orrmelléküreg betegség sebészi kezelése endoszkópos úton történik. Az endoszkóp alkalmazása szorosan kapcsolódik a funkcionális szemléletű orr és orrmelléküreg sebészethez (Functional Endoscopic Sinus Surgery: FESS), amely az orr és az orrban elhelyezkedő anatómiai struktúrák eredeti biológiai funkciójának megőrzését és visszaállítását célozza, a környezet lehető legcsekélyebb károsításával.
A műtét napján egyeztetett időpontban megjelent beteg hozza magával a laborleleteit, papucsot, hálóinget (pizsamát). Mielőtt lefektetjük a kórterembe egy Megbízási szerződést kell aláírnia, melyben megbízza a klinikát a beavatkozás elvégzésére. Emellett vállalnia kell az otthoni sebkezelést és a megbeszéltek szerinti műtét utáni teendőket. Tekintettel, hogy altatásban történik a műtét, az altatóorvos is megvizsgálja. Ekkor írja alá a "Tájékoztató a műtéti érzéstelenítésről" nyomtatvány altatási beleegyező nyilatkozat mellékletét.
Fontos!
Tekintettel, hogy a műtétet altatásban végezzük, előtte való napon éjfélig lehet ételt, italt fogyasztani, a műtétre teljesen éhgyomorral kell érkezni!
A rendszeresen szedett gyógyszereket a szokott időben és dózisban vegye be. A reggeli gyógyszert kevés folyadékkal, otthonában indulás előtt és ha van olyan gyógyszere, amelyet napközben is be kell vennie, azt hozza magával a klinikára!
Az orrpolip műtétek során az orvos az orrlyukakon keresztül bevezetett, speciális vékony optikán keresztül monitoron látja a műtéti területet és vékony, speciális célműszerekkel távolítja el a túlburjánzott nyálkahártyát.
Az alábbi animációs filmen megnézheti, mit lát az operáló orvos műtét közben.
Aki a műtét videóját szeretné látni, itt megteheti. Figyelem! A nyugalom megzavarására alkalmas!
A tampon eltávolítása után rövid ideig tartó vérzés előfordulhat, pár napig sűrű váladék, alvadt vér ürülhet az orrból, ami normális. Az orrot nem szabad erősen fújni. Egy hétig orrkenőcsöt, orr-olajat kell a gyorsabb nyálkahártya regeneráció érdekében használni. A műtétet követően kisebb vagy nagyobb sebfelület marad vissza, amelynek gyógyulása, hámosodása, hasonlóan egyéb hámsérüléshez kb. 1 hét, de a teljes gyógyulás, az orr normál funkciójának visszatérése legalább 5-6 hetet vehet igénybe. Amíg a teljes gyógyulás megtörténik, főleg a műtétet követő pár napban véres orrváladékozás, pörkösödés, orrdugulás természetes jelenség. A betegnek a szájon át történő légzés miatt gyorsabban szárad ki a szája, ezért igen sokat kell inni, lehetőség szerint a helységben, ahol tartózkodik, párásítani. Kerülni kell a túlzott szénsavas italokat és a csípős ételeket. Mindennemű erős fizikai munka, hajolás, emelés, sportolás kerülendő, mert növelheti az orrban lévő vérnyomást, így utóvérzést okozhat. Ugyanilyen meggondolásból kerülendő a forró ülőfürdő, ehelyett gyors zuhanyozás javasolt. Amennyiben a klinikáról való távozás után bármilyen váratlan jelenség lép fel, elsősorban orrvérzés, láz, szem, ill. szemkörüli duzzanat vagy fájdalom, azonnal jelezze a műtétet végző orvosnak. A teljes gyógyulási idő kb. 2-3 hét. Sportolást csak négy hét elteltével javasolt.
Egy műtéti beavatkozás szövődménymentességét egy orvos sem garantálhatja. A legkörültekintőbb műtéti beavatkozás mellett is megtörténhet a tampon kivétele utáni utóvérzés, későbbiekben esetleges gyulladás. Ezek, az esetleg előforduló korai szövődmények azonban jól kezelhetők. Ezért bármilyen csekély jelét is tapasztalja bármilyen szövődmény kialakulásának (pl. vérzés, láz), éjjel-nappal utolérheti operáló orvosát, aki gondoskodik ezek megoldásáról. Az otthoni gyógyulás szakaszaiban a beteg különböző tüneteket észlelhet, amelyek azonban nem mindig kórosak. A sebfájdalom, esetleg hőemelkedés az első napokban, aggodalomra nem adnak okot. Esetenként előfordul pár hétig tartó furcsa érzés, zsibogás, érzéketlenség, esetleg fájdalom az orrháton, a kemény szájpadon illetve a metszőfogakban. A késői szövődmények kialakulása (pl. kiújulás) a megfelelő technikával, és gondossággal végzett műtéttel, valamint gyógyszeres utókezeléssel előzhetők meg.
 
       
      