Tájékoztató a lábujj eltávolító műtétről

A lábujj eltávolító műtét olyan beavatkozás, amely elsősorban polydactylia (többujjúság) esetén szükséges, amikor az átlagos öt lábujjnál több fejlődik ki. Ez az állapot nemcsak esztétikai hátrányt, hanem járási instabilitást, cipőviselési nehézséget és hosszú távú ízületi problémákat is okozhat, ezért időben elvégzett kezelése kiemelten fontos.

Klinikánkon Dr. Szikora Gyula és Dr. Dér Levente láb- és boka specialista szakorvosok nagy tapasztalattal biztosítják a teljes betegutat a diagnosztikától a konzervatív terápián át egészen a műtéti ellátásig.

A lábujj eltávolító műtét legtöbbször egynapos sebészeti ellátás keretében történik, így a beteg rendszerint 24 órás megfigyelés után otthonába távozhat. A beavatkozás általában 45–75 percet vesz igénybe, a teljes felépülés 4–6 hét alatt zajlik, gyógytornával támogatva a teljes mozgástartomány visszanyerését.

Olvasási idő: 4 perc
Ortopédia

A betegség

A lábujj eltávolító műtét elsősorban polydactylia (többujjúság) esetén válik szükségessé, amikor a lábon az átlagos öt ujj helyett hat vagy annál több lábujj fejlődik ki. Ez az állapot leggyakrabban a születés során már észlelhető, és lehet önálló fejlődési rendellenesség vagy része egy komplexebb genetikai szindrómának. A többletujj elhelyezkedhet mediálisan (a hallux, azaz nagylábujj felé), laterálisan (a kisujj irányában) vagy interkalált módon (a meglévő ujjak között). Az extra ujj felépítése változó lehet: tartalmazhat teljes csontos vázat (ossificatio), ízületet (articulatio), inakat (tendines), idegeket (nervi) és körömlemezt (unguis), vagy csak lágyrészt.

Ez az elváltozás nemcsak esztétikai hátrányt jelent, hanem gyakran funkcionális panaszokat is okoz, például járási instabilitást, cipőviselési nehézséget, bőrkeményedést (hyperkeratosis), nyomási fájdalmat és másodlagos ízületi túlterhelést. Hosszabb távon a láb statikai egyensúlyának felborulása térd-, csípő- vagy gerincpanaszokat is eredményezhet.

Vizsgálat és konzultáció

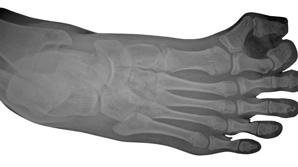
A fizikális vizsgálat során ortopéd szakorvosunk megvizsgálja a láb statikai viszonyait, az ujjak elhelyezkedését, a bőrelváltozásokat, a járáskép esetleges megváltozását. A tapintási vizsgálat során a csontos képletek elmozdíthatóságát, stabilitását és kapcsolódását is értékeljük. A diagnózis megerősítéséhez röntgenfelvétel (RTG) készül a láb elülső és oldalsó nézetéből, szükség esetén kiegészítve ultrahangvizsgálattal vagy MRI-vel, ha az érintett terület ideg- és lágyrészviszonyai részletesebb megítélést igényelnek.

A konzultáció során megbeszéljük, hogy a polydactylia milyen mértékben befolyásolja a járást, cipőviselést, valamint a láb esztétikai megjelenését. A műtéti tervet a klinikai kép és a képalkotó vizsgálatok alapján egyénre szabottan állítjuk össze.

A vizsgálatot követő konzultáció

A képalkotó leletek birtokában a kezelőorvos – Dr. Dér Levente, ortopéd-traumatológus, a lábsebészet elismert specialistája – részletes tájékoztatást ad a sebészi beavatkozás szükségességéről, annak menetéről, kockázatairól és várható eredményéről. A konzultáció során a páciens teljes körű felvilágosítást kap a műtét típusáról (csak lágyrész, illetve csont-ízület eltávolítás), az érzéstelenítés lehetőségeiről (lokális, regionális vagy általános anesztézia), valamint a rehabilitációs folyamatról.

Fontos hangsúlyt kap a döntés közös meghozatala, amely figyelembe veszi a páciens életkorát, fizikai aktivitását, a járás minőségét, valamint az esztétikai igényeket. Amennyiben a polydactyl ujj anatómiai szempontból komplex struktúrát tartalmaz, a beavatkozás során a sebész külön figyelmet fordít a környező képletek (idegek, inak, vérerek) megkímélésére és a láb funkcionalitásának megőrzésére.

Kezelés lehetőségei

A polydactylia kezelésének egyetlen hatékony és tartós módszere a műtéti korrekció, azaz a felesleges lábujj eltávolítása (excisiodigitiaccessori). Konzervatív terápia, például ortopéd cipő vagy talpbetét, önmagában nem vezet eredményre, sőt az esetek többségében csak a panaszok elnyújtását eredményezi.

A sebészi kezelést minden esetben egyéni anatómiai viszonyok figyelembevételével végezzük. A beavatkozás során történhet egyszerű lágyrész-excisio, vagy – ha a rendellenes ujj tartalmaz csontot – teljes ujjresectio, amely a metatarsalis csont (lábközépcsont) korrekcióját is magában foglalhatja. A cél a harmonikus lábforma, a szimmetrikus terhelés és a kényelmes, fájdalommentes járás biztosítása.

Műtét előtti teendők

A műtétet megelőzően teljes körű belgyógyászati, altatóorvosi (aneszteziológiai) kivizsgálás szükséges. Elvégezzük a rutin laborvizsgálatokat (vérkép, ionok, máj- és vesefunkciók, véralvadási paraméterek), EKG-t és mellkasröntgent. Szükség esetén további konzíliumokat is javasolhatunk (pl. diabetológia, kardiológia).

A véralvadásgátló kezelésben részesülő betegek gyógyszerelését módosítani kell. A beavatkozás napján a beteg éhgyomorra érkezik. Az operált végtag szőrtelenítése, bőr előkészítése és fertőtlenítése szintén a műtét előtti előkészület része.

Műtét

A lábujj eltávolító műtét típustól és anatómiai viszonyoktól függően helyi érzéstelenítésben (pl. digitális blokk), regionális (spinális vagy perifériás idegblokk) vagy általános érzéstelenítésben történik. A választott eljárást a beteggel közösen döntjük el, figyelembe véve az eset komplexitását és a páciens komfortját.

A műtét során a sebész eltávolítja a rendellenesen fejlődött ujjat. Ha az extra ujj teljes csontvázat és ízületi kapcsolatot tartalmaz, akkor osteotomiával, azaz a csont precíz átvágásával távolítjuk el, majd a csonkcsonkot lekerekítjük (resectio cum contouring). A környező lágyrészeket – inakat, idegeket, bőrt – anatómiai rétegek szerint rekonstruáljuk. A sebet felszívódó vagy nem felszívódó varratokkal zárjuk, a végtagot szükség szerint kompressziós kötésbe vagy merevítő sínbe helyezzük.

A műtét időtartama általában 45–75 perc.

Műtét utáni teendők

A műtét után a beteg rendszerint 24 órás megfigyelésen vesz részt intézményünkben. A végtagot tehermentesíteni kell, kezdetben mankó vagy járókeret használata javasolt. A műtét utáni első napokban a végtag felpolcolása és jegelése segíti a duzzanat és fájdalom csökkentését.

A varratszedés általában a műtétet követő 10–14. napon történik. A páciens a kontrollvizsgálatok során gyógytorna-javaslatot kap, amely segít visszanyerni az érintett láb mozgástartományát és izomegyensúlyát. A teljes rehabilitáció – terhelés és járáskép visszanyerése – kb. 4–6 hét alatt zajlik le, bár egyes esetekben a sporthoz való visszatérés ennél hosszabb időt igényelhet.

Lehetséges szövődmények

A lábujj eltávolító műtét során fellépő szövődmények ritkák, de – mint minden műtétnél – előfordulhatnak. A leggyakoribbak:

  • Sebgyógyulási zavar (delayed wound healing).
  • Postoperatív fertőzés (infectio).
  • Hegesedés (cicatrix hypertrophica vagy keloid).
  • Érzészavar, zsibbadás (neuroapraxia vagy idegsérülés).
  • Átmeneti járászavar vagy instabilitás.
  • Aszimmetrikus statikai terhelés miatti másodlagos panaszok.

Fontos megemlíteni, hogy ha a műtétet hosszú ideig halogatjuk, akkor a felesleges ujj okozta deformitás és járászavar rögzülhet, maradandó ízületi túlterheléshez, kalapácsujj (digitusmalleus) vagy bütyök (hallux valgus) kialakulásához vezethet. A megelőző, időben elvégzett műtéti beavatkozás tehát nemcsak esztétikai, hanem ortopédiai szempontból is indokolt és javasolt.

Miért érdemes a lábujj eltávolító műtétet nálunk elvégeztetni?

  • Ortopédiai szakrendelésünk Magyarország legrégebben alapított magánklinikáján működik. Bemutatkozás
  • Könnyen megközelíthető, központi elhelyezkedés.
  • Elérhető árak.
  • Telefonos előjegyzés a vizsgálatra.
  • Rövid várakozási idő a vizsgálatra és a műtétre.
  • Gyors, pontos és hatékony beavatkozás.
  • Személyes figyelem és gondoskodás a betegekről.
  • Az operáló orvossal a munkaidőn túli kapcsolattartás.
  • A műtétet Dr. Dér Levente láb- és boka specialista végzi, aki szakmájának egyik meghatározó alakja, kiemelkedő tapasztalattal és szakmai precizitással.

Orvosaink

A rendelést és a műtéteket Dr. Szikora Gyula ortopéd-traumatológus szakorvos és térd-láb specialista végzi.
Rendelési idő:
szerda 8:00 - 13:00 óráig
A rendelést és a műtéteket Dr. Dér Levente ortopéd-traumatológus szakorvos és lábsebész specialista végzi.
Rendelési idő:
szerda 15:00 - 19:00 óráig
péntek 15:00 - 18:00 óráig

GYIK

1. Mi az a polydactylia, és mikor szükséges a lábujj eltávolító műtét?
A polydactylia veleszületett rendellenesség, amikor az átlagosnál több lábujj fejlődik ki. A felesleges lábujj eltávolítása akkor javasolt, ha panaszokat, járási instabilitást vagy cipőviselési nehézséget okoz, illetve ha hosszú távon deformitásokhoz vezethet.

2. Hogyan történik a lábujj eltávolító műtét?
A beavatkozás helyi, regionális vagy általános érzéstelenítésben történik. A sebész az anatómiai viszonyoknak megfelelően távolítja el a rendellenes ujjat, szükség esetén a csont és a lágyrészek korrekciójával. A műtéti idő általában 45–75 perc.

3. Mennyi a felépülési idő a műtét után?
A páciens rendszerint 24 órás megfigyelés után hazamehet. A varratszedés 10–14 nap múlva esedékes, a teljes rehabilitáció 4–6 hét alatt zajlik le, gyógytorna támogatásával.

4. Miért fontos időben elvégeztetni a beavatkozást?
A műtét halogatása a deformitás rögzüléséhez, ízületi túlterheléshez, kalapácsujj vagy hallux valgus kialakulásához vezethet, amely később hosszabb rehabilitációt és bonyolultabb kezelést igényelhet.

5. Hol érdemes lábujj eltávolító műtéttel szakemberhez fordulni, és hol érhető el magas színvonalú ellátás?
A lábujj eltávolító műtétek diagnosztikáját és kezelését az Ars Medica Magánkórházban végzik, Magyarország legrégebben alapított magánklinikáján. Itt Dr. Dér Levente láb- és boka specialista nagy szakmai tapasztalattal, biztonságos és teljes körű ellátással végzi a beavatkozásokat.

6. Szükséges-e minden polydactylia esetében a műtét?
Nem minden esetben. Ha a felesleges ujj nem okoz panaszt, dönthető a műtét elhalasztása mellett, de hosszú távon érdemes szakemberrel konzultálni a lehetséges következményekről.

Összefoglaló

A lábujj eltávolító műtét (excisiodigitiaccessori) a polydactylia – veleszületett többujjúság – sebészi megoldása, amely során a rendellenesen fejlődött lábujjat, szükség esetén a csont- és lágyrészstruktúrákkal együtt eltávolítják. A diagnosztika ortopéd-traumatológiai vizsgálat, röntgen, ultrahang vagy MRI segítségével történik, a kezelési terv egyénre szabott. Konzervatív terápia nem hoz tartós eredményt, ezért a sebészi beavatkozás a javasolt eljárás. A műtét helyi, regionális vagy általános érzéstelenítésben, kb. 45–75 perc alatt zajlik, és legtöbbször egynapos sebészeti ellátás keretében történik. A teljes rehabilitáció 4–6 hét alatt valósul meg gyógytornával. Az Ars Medica Magánkórházban Dr. Dér Levente láb- és boka specialista végzi a műtéteket, biztonságos, magas színvonalú és teljes körű ellátást nyújtva a polydactylia kezelésében.

Bejelentkezés

Bejelentkezés:
Hétköznap 8:00-20:00 óráig
Az ezen kívül eső időpontokban kérjük használják az online bejelentkezés funkciót, és/vagy keressenek minket e-mailben!
Telefon:
Online foglalás
Bejelentkezés